Problemas Visuales
Los ojo constan de dos lentes que permiten el paso de la luz y tienen poder refractivo, la cornea y el cristalino. La cornea es le lente anterior y el cristalino un lente medio. Existen dos camaras: la anterior o acuosa ubicada entre la cornea y el cristalino y la posterior o vitrea ubicada entre el cristalino y la retina. Para que ocurra el fenomeno de la vision la luz debe atravesar las dos lentes, cornea y cristalino; las dos camaras, acuosa y vitrea y llegar a la capa nerviosa o retina. De alli es transmitida por medio de los nervios opticos al cerebro donde se forma la imagen permitiendo la vision. Existen numerosas enfermedades y traumas que afectan las diferentes lentes y camaras dificultando o impidiendo la vision. Entre ellos se encuentran:
- Problemas refractivos: myopia, hipermetropia, presbicia, astigmatismo.
- Enfermedades de la cornea: inflamacion o queratitis, cuerpos extranos y degeneraciones corneanas o queratoconos.
- Opacidades del cristalinos: conocidadas como cataratas.
- Enfermedades de la camara anterior: glaucoma o aumento de la presion ocular,inflamaciones o uveitis.
- Enfermedades de la camara posterior: desprendimiento vitreo, flotadores o moscas volantes y diabetes.
- Enfermedades de la retina: desgarros y desprendimiento de retina, degeneracion macular, diabetes, hipertension, y tumores entre muchas otras.
- Problemas de los musculos de los ojos: estrabismo.
- Problemas de los parpados: blefaritis y blefarochalasis.
Que es la Catarata?
Es la opacidad del cristalino o lente medio, la cual dificultad o bloquea el paso de la luz hacia la retina entorpeciendo la vision. Las cataratas son extremadamente comunes, todos los adultos desarrollamos cataratas a partir de los 45 anos de edad y son parte del proceso natural de envejecimiento. Algunos ninos desarrollan cataratas porque sufren un trauma, otros nacen con cataratas como consecuencia de una infeccion maternal con un virus (rubeola es el mas frecuente) el que puede ser transmitido al bebe.
Si bien las cataratas son inevitables con el avance de la edad es importante evitar el desarrollo de las cataratas a temprana edad, ya que el unico tratamiento correctivo definitivo de la catarata es la cirugia ocular.
Las cataratas constituyen la causa principal de ceguera (generalmente reversible mediante cirugia) en los adultos. Afectan al 50 % de la poblacion mayor de 60 anios llegando la incidencia a alcanzar el 99 % en pacientes mayores de 85 anos de edad.
En Argentina existen 40 medicos especializados en Oftalmologia por millon de habitantes pero aun asi el 40% de los pacientes de edad avanzada padecen de cataratas maduras por falta de accesibilidad a la cirugia, debido al costo de la mismas o a la distribucion geografica de los cirujanos.
Que causa las cataratas?
Con el avance de la edad las proteinas que forman las fibras del cristalino son destruidas por radicales libres u oxidantes ocasionando aumento de liquido en el cristalino o edema el que hace que la vision sea borrosa. Con el paso de los anos el cristalino se opacifica y la catarata se ve madura. El cristalino se opacifica lentamente y por mas de dos decadas, en pacientes sanos, es posible lograr la maxima vision con correcion de anteojos o lentes de contacto. En algunos pacientes las cataratas pueden progresar rapidamente como consecuencia del uso topico o sistemico de corticoides, traumas o enfermedades como la diabetes. La incidencia de cataratas es mayor en el sexo femenino debido a los cambios hormonales pos-menopausicos, pacientes de ojos marrones y miopes.
Tipos de cataratas
- Cataratas seniles: parte del proceso natural de envejecimiento.
- Catarata congenita: generalmente debida al transmision transplacentaria de una infecion con el virus de la rubeola, el citomegalovirus y el parasito de la toxoplasmosis (infeccion transimitida por los gatos). Las cataratas congenitas pueden deberse tambien al uso de corticoides or talidomida por la madre durante el embarazo y la galactosemia infantil. En ninos con sindrome de siete anos de edad.
- Traumatica: cualquier tipo de trauma puede causar catarata traumatica. Si es en los ninos, es muy importante mantener la vision en ambos ojos, mediante el uso de anteojos o lentes de contacto en los casos de cataratas incipientes. En el caso de una catarata avanzada, el Oftalmologo podria indicar la cirugia para reestablecer la vision maxina binocular, evitando asi la perdida de estimulacion cerebral del area visual y la consiguiente perdida de vision permanente.
- Secundarias: generalmente a enfermedades sistemicas como diabetes y/u oculares: retinosis pignmentaria y sindromes vitroretinanos que pueden asociarse a cataratas subcapsulares.
- Toxicas: por el uso prolongado de esterodes topico o sistemico como tratamiento de enfermedades oculares inflamatorias, asma, alergias y enfermedades reumaticas. Otros toxicos: clorpromacina, busulfan e inhibidores de la colinesterasa. En la actulidad se utilizan esteroides topicos para tratar enfermedades inflama torias oculares que son absorbidos a nivel corneal (lente anterior) evitando la absorcion del esteroide por el cristalino. Si es posible, el Oftalmologo indicara inflamatorios no esteroideos.
Si usted desea utilizar gotas oculares estas deben ser indicadas por su medico oftalmologo. El uso excesivo de esteroides puede aumentar el riesgo del desarrollo de cataratas tempranas y de glaucoma.
Que aumenta el riesgo de desarrollar cataratas tempranas?

- Enfermedades inflamatorias de los ojos que requieren del uso prolongado de cortidoesteroides topicos o sistemicos.
- Medicacion para bajar rapidamente de peso.
- Trauma ocular.
- Diabetes
- Hipoglucemia congenita podria estar asociada con el desarrollo de cataratas.
- Extensa exposicion a rayos ultravioletas solares.
- Fumar: por aumento de los radicals libres los aceleran la oxidacion del cristalino.
- Alcoholismo.
- El mal uso de gotas oculares. No use gotas que han sido indicadas a un familiar o amigo.
- En pacientes asmaticos que utilizan esteroides inhalatorios aumenta el riesgo de desarrollo de cataratas. Se sugiere control anual con el especialista en oftalmologia para evaluacion del cristalino y de la presion ocular.
- En adultos y ninos que deben utilizar esteroides sistemicos en forma prolongada aumenta el riesgo de desarrollar cataratas. Mas rapido aun en los ninios. Despues de varias decadas de estudios cientificos no se ha podido demostrar la dosis segura de corticosteroides sitemicos. Si se sabe que los tratamientos intermitentes disminuyen el riesgo de desarrollo de cataratas subcapsular posterior.
- Dieta ricas en grasas, especialemente trigleceridos.
- Exceso de radiacion a la cabeza por un tratamiento o radiografias diagnosticas.
- Pacientes sometidos a vitrectomias: cirugia de la camara posterior del ojo.
Los no de las cataratas.
- no son contagiosas.
- -el uso excesivo de los ojo, leer mucho o usar la computadora no causa catarata. La exposicion excesiva a la luz solar si aumenta el riesgo de opacidad temprana del cristalino.
- no son causa de ceguera irreversible, la vision se restaura con la cirugia inmediatamente.
- no son cancer.
- no se repiten
- no son una tela que crece delante del ojo, eso es un pterigion, la catarata crece dentro del ojo.
- El tomar aspirina no previene el desarrollo de cataratas
- Evitar traumas de los ojos (un trauma en la ninez puede manifestarse como cataratas pocos anos despues)
- Usar anteojos de sol y evitar la exposicion a rayos ultravioletas. Los anteojos de sol polarizados ofrecen la mayor protecion contra los rayos UV.
- Evitar las lamparas bronceadoras de la piel.
- No fumar.
- Evitar el exceso de alcohol.
- Consumir una dieta rica en frutas, verduras (antioxidadntes naturales), pescado y granos.
- Consumir suplementos de antioxidantes, Vitamina C y E podria contribuir a disminuir el riesgo. Multiples estudios cientificos apoyan la teoria y otros tantos la contradicen. Consulte con su medico de cabecera, no tome vitaminas que no sean indicadas por su medico.
- Controlar la diabetes.
- Si esta bajo tratamiento de asma, alergias o por artiritis reumatoidea u otra enfermedad sistemica que requiera tratamientos prolongados de corticoides consulte con regularidad al medico oftalmologo para evaluar el cristalino y tomar la presion ocular.
- Cataratas congenitas por rubeola: se pueden prevenir verificando que las adolescentes y mujeres en edad fertil estan vacunadas y/o presentan anticuerpos en sangre por exposicion previa a l virus. Si tiene dudas consulte a su medico. La vacuna se puede aplicar sola o en combinacion con la vacuna para el sarampion y la parotiditis (papera). En la actualidad se dan dos dosis de vacuna para la rubeola, la primera entre los 12 y 18 meses de edad y la segunda entre los 2 anos y medio y 4 anos de edad. Si usted no ha sido vacunada la recomendación es una dosis a todos los mayores de 18 anos de edad. La rubeola congenita es ademas causa de sordera y de enfermedades cardiovasculares en infantes si la madres se infecta con rubeola durante en el embarazo y no ha sido vacuna o no a sufrido exposicion previa a la rubeola. Aproxidamdamente el 15% de la mujeres en edad fertil son suceptibles a padecer rubeola y hasta un 50 % de los ninos de estas madres tendrian cataratas congenitas. (Georgetown University. Washington, DC; Instituto Nacional de Salud. Bethesda, Maryland; Gonzalez-Ayala Hospital de Ninos. La Plata). Ante la presencia de una catarata congenita en un recien nacido es importante la consulta con un Oftalmologo ya que la catarata impediria el estimulacion del aerea visual del cerebro y podria ocasionar perdida permanente de la vision del ojo en el que se encuentra la catarata, si esta no es removida tempranamente para restablecer el estimulo visual cerebral.
Como se afecta la vision ante la existencia de cataratas?
- Vision borrosa o no nitida incluso con anteojos nuevos.
- Necesidad de cambiar la prescripcion de anteojos frecuentemente
- Vision doble o fantasma.
- Vision de un film.
- Perdida de nitidez de los colores, tendencia a ver todo amarillento.
- Encandilamiento por luces de lamparas o de otros automobiles, es mas notable al conducir de noche.
- Momentanea mejoria de la vision de cerca y desmejora de la vision de lejos, con posterior disminucion de la vision de cerca y lejos.
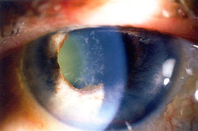
- Usted podria ver la catarata en un ojo si esta es muy avanzada, se ve la pupila blanca: la pupila es la abertura del iris y normalmente se ve como un punto negro en medio de zona coloreada que se llama iris.
- Dolor: en general las cataratas son indoloras. Puede existir dolor ocular causado por una complicacion de cataratas hipermadura que han aumentado la presion ocular. Esta complicacion es el glaucoma facolitico: ocurre cuando el cristalino cataratoso se desintegra parcialmente bloqueando una microestructura angular aumentando la presion ocular. Cuando las cataratas estan avanzadas es combeniente operarlas para prevenir el glaucoma facolitico, el que disminuye notablemente el existo de la cirugia ocular ya que en lugar de necesitar cirugia de cataratas el paciente necesita cirugia de glaucoma y de cataratas.
- en los ninios: es muy importante realizar examenes oftalmologicos anuales de rutina porque la disminucion temporaria de la vision de un ojo puede ocasionar perdida definitive de la vision o ambliopia. La ambliopia ocurre porque el cerebro deja de ser estimulado al no llegar la imagen como consecuencia del bloqueo de la entrada de luz por la catarata. La ambliopia tambien puede ocurrir porque un ojo se desvia y no fija.
Como se diagnostican las cataratas?
Como se trata las cataratas?
- Con cirugia. La tecnicas mas usadas son la extracapsular y la tecnica de facoemulsificacion, lo que significa que la catarata se emulsifica y aspira. El cristalino se reemplaza por un lente intraocular, plegable o no. Dicho lente tiene poder refractivo, semejante al poder natural de cada paciente, si el paciente es miope o hipermetrope se hace el correcion refractiva durante el mismo precedimieto quirurgico. Los calculos refractivos necesarios son realizado por el medico ofalmologo previamente a la cirugia. La cirugia se realiza con anestesia local topica (gotas) o inyeccion periocular; generalmente es ambulatoria, el paciente permanence en la institucion quirurigica por unas horas y va a su domicilio con una cobertura plastica transparente y concurre a control dentro de las primeras 24 horas.
Complicaciones de la cirugia de cataratas:
- Dislocacion del lente intaocular.
- En el 2% de las cirugias de ojos emetropes (pacientes que no eran miopes o hipermetropes durante la vida) podria ocurrrir desprendimiento de retina. En pacientes con miopes altas: mas de –6 el riesgo de desprendimiento de retina es mas elevado. El desprendimiento de retina requiere de una cirugia de mayor complejidad y el exito del la cirugia es del 60%.
- Aumento de la presion ocular.
- Infeciones.
- En la actualidad la cirugia de cataratas es una de las mas existosas en todo el mundo. La recuperacion de la vision es inmediata si el paciente tiene un ojo sano previo a la cirugia y puede llevar mas tiempo si el paciente tiene glaucoma u otras enfermedades oculares.
Vision despues de la cirugia
Los pacientes recuperaran la vision a aproximadamente al 100% sin anteojos dentro de las 48hs. a primera semana. Suelen necesitar anteojos para leer si no se ha colocado un lente intraocular multifocal, el cual es la ultima tendencia, aun dificil de adaptarse para algunos pacientes.
Consecuencias de la cirugia de cataratas.
Dentro de las 6 semanas a 1 ano o mas posterior a la cirugia de cataratas el paciente suele sufrir una disminucion de la vision debida a opacificacion de la capsula posterior. La capsula se opacifica en el 20 a 40 % de los pacientes. Se debe realizar una pequena abertura mediante YAG laser, el que restaura la vision de inmediato. No tiene complicaciones y se realiza en forma ambulatoria.
Como y cuando decidir si necesita cirugia de catarata?
Depende de que tan incapacitantes sean y la interferencia con la vida diaria. Generalmente el paciente decide cuando operarse. El medico indicara la cirugia si existe riesgo de glaucoma causado por una catarata madura y este no responde al tratamiento medicamentoso (el glaucoma sin tratamiento causa perdida definitiva de la vision periferica) y/o porque la presencia de la catarata impide el tratamiento de una afeccion tal como retinopatia diabetica, hipertensiva o desprendimiento de retina.
Las enfermedades oculares pueden ser discapacitantes, muchas de ellas o sus consecuencias son prevenibles. Consulte a su Medico Oftalmologo una vez al ano o ante cualquier duda, para examen de rutina de vision, presion ocular y fondo de ojo. Simples examenes de rutina son la clave para la prevencion, diagnostico temprano y éxito del tratamiento de multiples enfermedades oculares que son silenciosas y deterioran las vision discapacitando al paciente.
El medico que diagnostica y trata las enfermedades de los ojos es el Medico especializado en Oftalmologia.
Referencias:
Blindness Prevention MidAtlantic.
Gonzalez-Ayala/Infectologia/Rubeola
GW Universityand NIH/Maternal Rubeola